2 Haftalık Hamile Belirtileri

2 Haftalik Gebelik Belirtileri Nelerdir 2 Haftalik Hamilelik Belli Olur Mu Hamilelik Bilgi Rehber

2 Haftalik Gebelik Belirtileri Nelerdir 2 Haftalik Hamilelik Belli Olur Mu Hamilelik Bilgi Rehber

1 2 Haftalik Hamilelik 1 Haftalik Gebelik Hamilelik Belirtileri

1 2 Haftalik Hamilelik 1 Haftalik Gebelik Hamilelik Belirtileri

Hamileligin 1 Haftasi Gebelik Baslangici Belirtileri Ve Uzman Onerileri

Hamileligin 1 Haftasi Gebelik Baslangici Belirtileri Ve Uzman Onerileri

Hamilelikte Gebelikte 2 Hafta Annesibebesi

Hamilelikte Gebelikte 2 Hafta Annesibebesi

Hafta Hafta Gebelik Belirtileri Melek Kadinlar Kulubu

Hafta Hafta Gebelik Belirtileri Melek Kadinlar Kulubu

Hafta Hafta Hamilelik Gebelik Hamilelikte 2 Hafta

Hafta Hafta Hamilelik Gebelik Hamilelikte 2 Hafta

Hafta Hafta Hamilelik Gebelik Hamilelikte 2 Hafta

Ancak nadir de olsa bazı kadınlar 2 haftalık hamilelikte bazı belirtiler yaşadıklarını bildirmişlerdir.

2 haftalık hamile belirtileri. 2 haftalık gebelik belirtileri şunlardır. Kulağa biraz iğrenç geliyor ama yumurtlama zamanınız yaklaşırken rahim ağzı salgınız tıpkı yumurta beyazına benzer. Sorusu yeni anne adaylarının gündeminde. İçerik gizle 1 2 haftalık gebelik belirtileri nelerdir.

Bu haberimizde gebelik ne zaman kesinleşir. 35 yaşın altındaki kadınların yüzde 15 oranında düşük yapma ihtimali varken bu oran 35 45 yaş arası. Hamilelikte beslenme düzeni hamilelikte kilo alımı hamileliğin ilk haftaları nelere dikkat edilmeli diye merak ediyorsan öncelikle beslenmene özen göstermelisin diyebiliriz eğer hamilelikten önce normal kilodaysan hamilelik döneminde kalori alımını arttırman gerekir. Hamilelik belirtileri her kişide farklı şekilde seyredebilir 2 haftalık gebelik belirtileri en çok vajinal akıntıda artış ve göğüs hassasiyetidir.

Bunun için de adet döngüsünü sürekli takip etmeli ve en verimli dönemleri değerlendirmelisiniz. 1 2 haftalık bebek düşer mi. Adlı bu yazımızda sizler için birçok konu başlığını inceledik. Yumurta beyazı rahim ağzı salgısı.

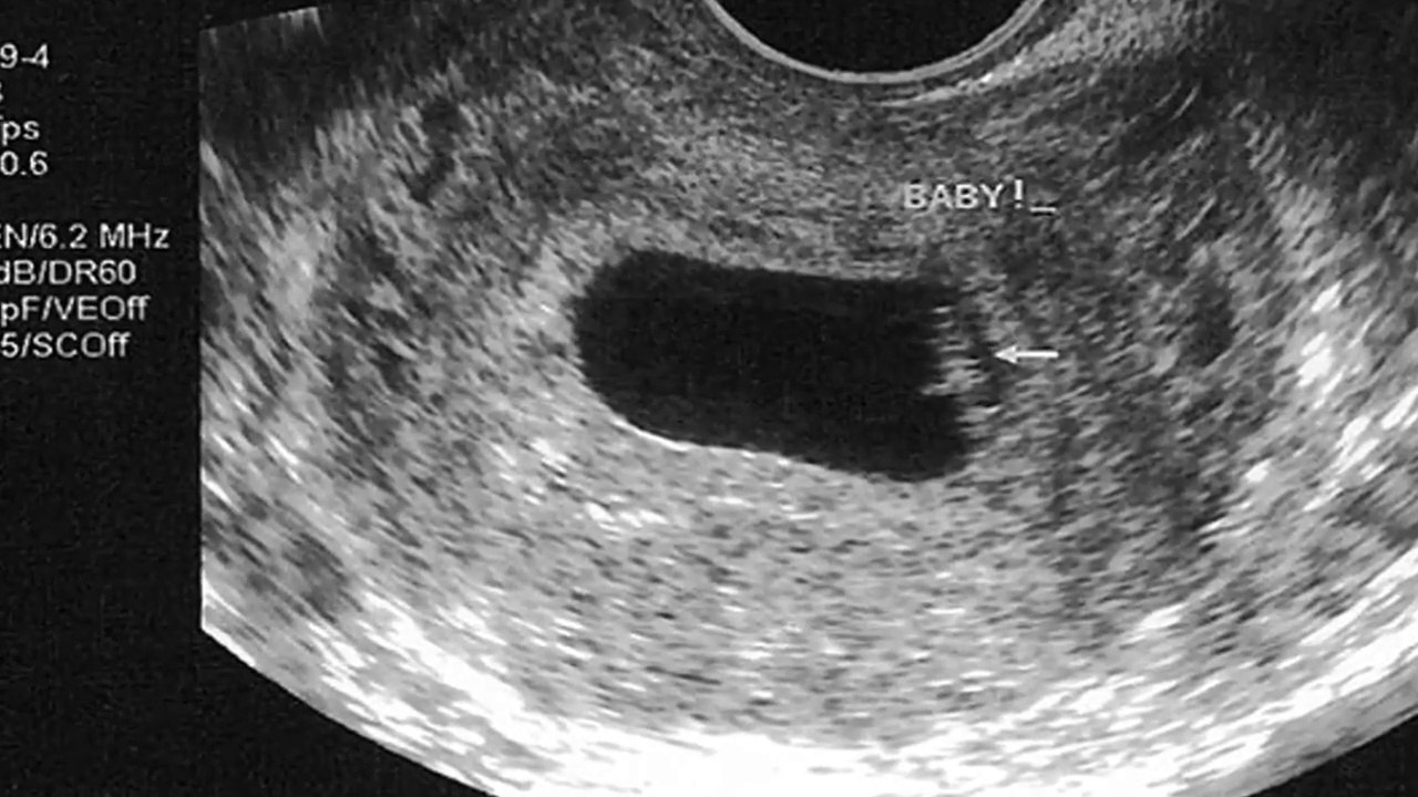
2 haftalık gebelikte neler olur. Bunlardan bazılarını 2 haftalık gebelik ultrason görüntüleri 2 haftalık gebe karnı ve ilk hamilelik belirtileri şeklinde dile getirebileceğimiz gibi. Düşük yapma hamilelik döneminde bebeğin 20 haftadan önce kaybedilmesine denir gebeliklerin yaklaşık yüzde 10 ila 20 si düşükle sonuçlanır. 2 haftalık gebelik belirtileri.

Düşük yapma riski yaşla birlikte artar. Gebeliğin ilk 3 haftasında hamilelik belirtileri vücutta fiziksel olarak gözlemlenemediği gibi yapılan testlerde de herhangi bir gebelik bulgusu görülmeyebilir. 2 haftalık gebelikte bebeğin görüntüsü. 2 haftalık hamilelikte kanama ve 2 haftalık hamilelikte düşük belirtileri benzeri başlıkları da sizler.

Haftasında rahimdeki iç çeper genişlemeye devam eder ve yumurtanın döllenmesi için gerekli ortam hazırlanmaya başlar. 2 haftalık gebelik belirtileri i̇lk günden itibaren yukarıda bahsettiğimiz yumurtlama belirtileri dışında herhangi bir belirti yaşanmaz. Bildiğiniz gibi yumurtlama döneminde eşinizle düzenli ilişkiye girmeniz gebelik şansını arttırır. Gebelikte 2 hafta aslında henüz pek çok anne adayının hamile olduklarının henüz farkına varmadıkları bir dönemdir.

2 Haftalik Gebelik Hamilelik Belirtileri Hafta Hafta Hamilelik Cicicee

2 Haftalik Gebelik Hamilelik Belirtileri Hafta Hafta Hamilelik Cicicee

Hamileligin 1 Ve 2 Haftasi Saglikli Beslenme Saglikli Yasam Saglikli Portalsaglikli Beslenme Saglikli Yasam Saglikli Portal

Hamileligin 1 Ve 2 Haftasi Saglikli Beslenme Saglikli Yasam Saglikli Portalsaglikli Beslenme Saglikli Yasam Saglikli Portal

Gebelikte 2 Hafta Gebe Com

Gebelikte 2 Hafta Gebe Com

Hafta Hafta Gebelik Sayfa 3 3 Saglikli Yol Com

Hafta Hafta Gebelik Sayfa 3 3 Saglikli Yol Com

Gebelikte 1 Hafta Belirtileri Melek Kadinlar Kulubu

Gebelikte 1 Hafta Belirtileri Melek Kadinlar Kulubu

2 Haftalik Gebelik Rehberi 2 Haftalik Hamilelik Belirtileri Buyurken Com

2 Haftalik Gebelik Rehberi 2 Haftalik Hamilelik Belirtileri Buyurken Com

2 Haftalik Hamilelik Belirtileri Ipuclari Ve Daha Fazlasi

2 Haftalik Hamilelik Belirtileri Ipuclari Ve Daha Fazlasi

Bebekvar Net 2 Haftalik Gebelik Belirtileri

Bebekvar Net 2 Haftalik Gebelik Belirtileri

Hamileligin Ilk Belirtileri Gebelikte Ilk Belirtiler Youtube

Hamileligin Ilk Belirtileri Gebelikte Ilk Belirtiler Youtube

Hafta Hafta Gebelik 1 Haftalik Hamilelik Nasil Anlasilir 1 Hafta Hamilelik Gelisimi Hamilelik Haberleri

Hafta Hafta Gebelik 1 Haftalik Hamilelik Nasil Anlasilir 1 Hafta Hamilelik Gelisimi Hamilelik Haberleri

2 Haftalik Hamileyim 2 Haftalik Hamilelikte Dikkat Edilmesi Gerekenler

2 Haftalik Hamileyim 2 Haftalik Hamilelikte Dikkat Edilmesi Gerekenler

2 Haftalik Gebelik Hakkinda Bilmeniz Gereken Her Sey Appvice

2 Haftalik Gebelik Hakkinda Bilmeniz Gereken Her Sey Appvice

2 Hafta Hamilelik Hamile Com

2 Hafta Hamilelik Hamile Com

Gebeligin 4 Haftasinda Neler Oluyor Hamilelik

Gebeligin 4 Haftasinda Neler Oluyor Hamilelik

Hamilelik Belirtileri Hamile Miyim Bebek Com

Hamilelik Belirtileri Hamile Miyim Bebek Com

Hafta Hafta Gebelik Gelisimi 2 Haftalik Gebelik Belirtileri Hamileligin 2 Haftasi Ne Olur Hamilelik Haberleri

Hafta Hafta Gebelik Gelisimi 2 Haftalik Gebelik Belirtileri Hamileligin 2 Haftasi Ne Olur Hamilelik Haberleri

2 Haftalik Gebelik Belirtileri Nelerdir 2 Haftalik Hamilelik Belli Olur Mu

2 Haftalik Gebelik Belirtileri Nelerdir 2 Haftalik Hamilelik Belli Olur Mu

Hamileligin Ilk Haftalari Hamileligi Ilk 3 Haftasinda Neler Oluyor Hamilelik

Hamileligin Ilk Haftalari Hamileligi Ilk 3 Haftasinda Neler Oluyor Hamilelik

2 Haftalik Gebelik Belirtileri Nelerdir Arsivleri Gebelik Haftam

2 Haftalik Gebelik Belirtileri Nelerdir Arsivleri Gebelik Haftam

3 Hafta Gebelik

3 Hafta Gebelik

2 Haftalik Gebelik Hamilelik Iki Haftalik Gebelik Video Dailymotion

2 Haftalik Gebelik Hamilelik Iki Haftalik Gebelik Video Dailymotion

Hamileligin Ilk Haftalari Hamilelikte Ilk Hafta Belirtileri Neler Guncel Yasam Haberleri

Hamileligin Ilk Haftalari Hamilelikte Ilk Hafta Belirtileri Neler Guncel Yasam Haberleri

3 Hafta Hamilelik Ilk Adimlarim

3 Hafta Hamilelik Ilk Adimlarim

Gebeligin 5 Haftasinda Neler Oluyor Hamilelik

Gebeligin 5 Haftasinda Neler Oluyor Hamilelik

Tum Yonleriyle Gebelik Hafta Hafta Hamilelik Donemleri

Tum Yonleriyle Gebelik Hafta Hafta Hamilelik Donemleri

Hafta Hafta Gebelik 1 Haftalik Hamilelik Nasil Anlasilir 1 Hafta Hamilelik Gelisimi Hamilelik Haberleri

Hafta Hafta Gebelik 1 Haftalik Hamilelik Nasil Anlasilir 1 Hafta Hamilelik Gelisimi Hamilelik Haberleri

Pratikle

Pratikle

8 Hafta Gebelikte Neler Oluyor Bebek Com

8 Hafta Gebelikte Neler Oluyor Bebek Com

Hamilelik Belirtileri Nelerdir Ne Zaman Baslar Hamile Oldugumu Nasil Anlarim Ilk Hafta Erken Hamilelik Belirtiler Nelerdir Son Dakika Haberler

Hamilelik Belirtileri Nelerdir Ne Zaman Baslar Hamile Oldugumu Nasil Anlarim Ilk Hafta Erken Hamilelik Belirtiler Nelerdir Son Dakika Haberler

2 Aylik Hamilelik Bu Ay Neler Yasayacaksin Anneysen

2 Aylik Hamilelik Bu Ay Neler Yasayacaksin Anneysen

Hamileligin 6 Haftasi 6 Haftalik Gebelik Uni Baby

Hamileligin 6 Haftasi 6 Haftalik Gebelik Uni Baby

Suheyla Topaloglu Op Dr Suheyla Topaloglu Operator Doktor Suheyla Topaloglu Kadin Dogum Hastaliklari Jinekolog Izmir Bornova Kisirlik Menopoz Aile Planlamasi Hafta Hafta Gebelik

Suheyla Topaloglu Op Dr Suheyla Topaloglu Operator Doktor Suheyla Topaloglu Kadin Dogum Hastaliklari Jinekolog Izmir Bornova Kisirlik Menopoz Aile Planlamasi Hafta Hafta Gebelik

2 Haftalik Bebek Dusmesi Nasil Olur Anlasilir Belirtileri Selmasultan

2 Haftalik Bebek Dusmesi Nasil Olur Anlasilir Belirtileri Selmasultan

3 Hafta Hamilelik Ilk Adimlarim

3 Hafta Hamilelik Ilk Adimlarim

Hamilelik Belirtileri Nelerdir Ne Zaman Ve Kacinci Haftada Basladi Iste Erken Donem Hamilelik Belirtileri Son Dakika Haberler

Hamilelik Belirtileri Nelerdir Ne Zaman Ve Kacinci Haftada Basladi Iste Erken Donem Hamilelik Belirtileri Son Dakika Haberler

Hamileligin 1 Haftasi Gebelik Baslangici Belirtileri Ve Uzman Onerileri

Hamileligin 1 Haftasi Gebelik Baslangici Belirtileri Ve Uzman Onerileri

Hafta Hafta Gebelik 2 Haftalik Gebelikte Neler Olur Detayli Teknobeyin

Hafta Hafta Gebelik 2 Haftalik Gebelikte Neler Olur Detayli Teknobeyin

2 Haftalik Hamileyim 2 Haftalik Hamilelikte Dikkat Edilmesi Gerekenler

2 Haftalik Hamileyim 2 Haftalik Hamilelikte Dikkat Edilmesi Gerekenler

Gebeligin 1 2 Ve 3 Haftasi Hafta Hafta Gebelik

Gebeligin 1 2 Ve 3 Haftasi Hafta Hafta Gebelik

2 Hafta Gebelik Belirtileri Bebek Gelisimi Ipuclari Ve Vucut Degisiklikleri Iyi Aile

2 Hafta Gebelik Belirtileri Bebek Gelisimi Ipuclari Ve Vucut Degisiklikleri Iyi Aile

Gebelikte 2 Hafta Hafta Hafta Gebelik Anne Ve Adayi

Gebelikte 2 Hafta Hafta Hafta Gebelik Anne Ve Adayi

1 Haftalik Gebelik Hamileliginizin Birinci Haftasi

1 Haftalik Gebelik Hamileliginizin Birinci Haftasi

Ilk Hafta Hamilelik Belirtileri Ilk Hafta Hamilelik Nasil Anlasilir 1 Ve 2 Haftalar Hamilelik Belirtileri Gebeligin Erken Hamilelik Dis Gebelik Babalar

Ilk Hafta Hamilelik Belirtileri Ilk Hafta Hamilelik Nasil Anlasilir 1 Ve 2 Haftalar Hamilelik Belirtileri Gebeligin Erken Hamilelik Dis Gebelik Babalar

2 Hafta Hamilelik Ikinci Hafta Gebelik Belirtileri Bebek Geliyor

2 Hafta Hamilelik Ikinci Hafta Gebelik Belirtileri Bebek Geliyor

2 Haftalik Gebelik Hamilelik Belirtileri Hafta Hafta Hamilelik Cicicee

2 Haftalik Gebelik Hamilelik Belirtileri Hafta Hafta Hamilelik Cicicee

2 Haftalik Gebelik Belirtileri Nelerdir 2 Haftalik Hamilelik Belli Olur Mu

2 Haftalik Gebelik Belirtileri Nelerdir 2 Haftalik Hamilelik Belli Olur Mu

Gebeligin 2 Ayinda Neler Yasanir Prof Dr Cem Ficicioglu

Gebeligin 2 Ayinda Neler Yasanir Prof Dr Cem Ficicioglu

12 Haftalik Gebelik Belirtileri Fiziksel Degisiklikler Ve Oneriler Gebelik Rehberi

12 Haftalik Gebelik Belirtileri Fiziksel Degisiklikler Ve Oneriler Gebelik Rehberi

Hamilelikte Ikiz Bebek Erken Belirtileri Nelerdir Diclemek

Hamilelikte Ikiz Bebek Erken Belirtileri Nelerdir Diclemek

Hafta Hafta Gebelik Hamilelik Takvimi Bebek Gelisimi

Hafta Hafta Gebelik Hamilelik Takvimi Bebek Gelisimi

Gebeligin 6 Haftasinda Neler Oluyor Hamilelik

Gebeligin 6 Haftasinda Neler Oluyor Hamilelik

10 Hafta Hamilelik Hafta Hafta Gebelik

10 Hafta Hamilelik Hafta Hafta Gebelik

Hamileligin Ilk Hafta Belirtileri 1 Ve 2 Hafta Hamilelik By Akarbilisim59 Issuu

Hamileligin Ilk Hafta Belirtileri 1 Ve 2 Hafta Hamilelik By Akarbilisim59 Issuu

Gebelikte 5 Hafta Gebe Com

Gebelikte 5 Hafta Gebe Com

Hamilemiyim Hamile Oldugumu Nasil Anlarim Hamilelik Belirtileri Nelerdir

Hamilemiyim Hamile Oldugumu Nasil Anlarim Hamilelik Belirtileri Nelerdir

Hamileligin Ilk Ayi 1 Ayi 1 Aylik Gebelik Hamilelik Baslangici

Hamileligin Ilk Ayi 1 Ayi 1 Aylik Gebelik Hamilelik Baslangici

Hamilelik Belirtileri Nelerdir Ne Zaman Baslar Anneysen

Hamilelik Belirtileri Nelerdir Ne Zaman Baslar Anneysen

Hamilelik Belirtileri Hamile Miyim Bebek Com

Hamilelik Belirtileri Hamile Miyim Bebek Com

2 Haftalik Gebelik

2 Haftalik Gebelik

Hafta Hafta Hamilelik Belirtileri 9 Haftalik Gebelik Bilgileri 9 Haftalik Gebelik Hamilelik Cinsiyet

Hafta Hafta Hamilelik Belirtileri 9 Haftalik Gebelik Bilgileri 9 Haftalik Gebelik Hamilelik Cinsiyet

2 Haftalik Gebelik Belirtileri Fiziksel Degisiklikler Ve Oneriler Gebelik Rehberi

2 Haftalik Gebelik Belirtileri Fiziksel Degisiklikler Ve Oneriler Gebelik Rehberi

Hamilelik Belirtileri Ile Adet Agrisinin Farki Nedir Benzerlikleri Nelerdir

Hamilelik Belirtileri Ile Adet Agrisinin Farki Nedir Benzerlikleri Nelerdir

2 Hafta Hamilelik Ikinci Hafta Gebelik Belirtileri Bebek Geliyor

2 Hafta Hamilelik Ikinci Hafta Gebelik Belirtileri Bebek Geliyor

Gebeligin Ilk 3 Haftasi Ve Belirtileri Hafta Hafta Gebelik Rehberi

Gebeligin Ilk 3 Haftasi Ve Belirtileri Hafta Hafta Gebelik Rehberi

Duyunca Sasiracaginiz Enterasan Hamilelik Belirtileri Hamilelik Belirtileri Kac Gun Sonra Belli Olur Son Dakika Haberler

Duyunca Sasiracaginiz Enterasan Hamilelik Belirtileri Hamilelik Belirtileri Kac Gun Sonra Belli Olur Son Dakika Haberler

Dis Gebelik Nedir Dis Gebelik Belirtileri Nelerdir Ektopik Gebelik

Dis Gebelik Nedir Dis Gebelik Belirtileri Nelerdir Ektopik Gebelik

Hafta Hafta Gebelik

Hafta Hafta Gebelik

4 Hafta Hamilelik Belirtileri Bebeginiz 4 Haftada Hamilelik Op Dr Gonul Cimen Kadin Hastaliklari Ve Dogum Uzmani Kadin Dogum Doktoru

4 Hafta Hamilelik Belirtileri Bebeginiz 4 Haftada Hamilelik Op Dr Gonul Cimen Kadin Hastaliklari Ve Dogum Uzmani Kadin Dogum Doktoru

Prp Tup Bebek Prof Dr Bulent Tiras

Prp Tup Bebek Prof Dr Bulent Tiras

13 Hafta Gebelik Belirtileri Hamilelikbelirtileri Net

13 Hafta Gebelik Belirtileri Hamilelikbelirtileri Net

Ikiz Gebelik Belirtileri Nelerdir Prof Dr Bulent Tiras

Ikiz Gebelik Belirtileri Nelerdir Prof Dr Bulent Tiras

Hamileligin 5 Haftasi 5 Haftalik Gebelik Uni Baby

Hamileligin 5 Haftasi 5 Haftalik Gebelik Uni Baby

2 Haftalik Gebelik Cocuklu Dunya

2 Haftalik Gebelik Cocuklu Dunya

Hamilelik Belirtileri Nelerdir Memorial

Hamilelik Belirtileri Nelerdir Memorial

2 Haftalik Gebelik Belirtileri Nelerdir 2 Haftalik Hamilelik Belli Olur Mu

2 Haftalik Gebelik Belirtileri Nelerdir 2 Haftalik Hamilelik Belli Olur Mu

Hamile Oldugunuzu Nasil Anlarsiniz Ilk Hafta Hamilelik Belirtileri Neler Guncel Yasam Haberleri

Hamile Oldugunuzu Nasil Anlarsiniz Ilk Hafta Hamilelik Belirtileri Neler Guncel Yasam Haberleri

Nasil Ile Ilgili Haberler Vatan Kocaeli Gazetesi

Nasil Ile Ilgili Haberler Vatan Kocaeli Gazetesi

5 Hafta Gebelikte Neler Oluyor Bebek Com

5 Hafta Gebelikte Neler Oluyor Bebek Com

Gebe Oldugunu Nasil Anlarsin Gebelik Hamilelik Belirtileri Nelerdir

Gebe Oldugunu Nasil Anlarsin Gebelik Hamilelik Belirtileri Nelerdir

Gebelik Haftasi Hesaplama Ve Gebelik Belirtileri

Gebelik Haftasi Hesaplama Ve Gebelik Belirtileri

8 Haftalik Gebelik Hafta Hafta Hamilelik Anneysen

8 Haftalik Gebelik Hafta Hafta Hamilelik Anneysen

5 Hafta Gebelik Hamilelik

5 Hafta Gebelik Hamilelik

Macera Basliyor Hamilelikte 1 Ve 2 Hafta

Macera Basliyor Hamilelikte 1 Ve 2 Hafta

Gebeligin 7 Haftasinda Neler Oluyor Hamilelik

Gebeligin 7 Haftasinda Neler Oluyor Hamilelik

Hafta Hafta Hamilelik Sureci Ilk Adimlarim

Hafta Hafta Hamilelik Sureci Ilk Adimlarim

Hafta Hafta Hamilelik Gebelik Hamilelikte 5 Hafta

Hafta Hafta Hamilelik Gebelik Hamilelikte 5 Hafta

2 Haftalik Gebelik Cocuklu Dunya

2 Haftalik Gebelik Cocuklu Dunya

1 Haftalik Hamilelik Nasil Anlasilir Ilk Hafta Belirtileri Nelerdir 1 Haftalik Gebelik Testte Cikar Mi Son Dakika Haberler

1 Haftalik Hamilelik Nasil Anlasilir Ilk Hafta Belirtileri Nelerdir 1 Haftalik Gebelik Testte Cikar Mi Son Dakika Haberler

Hafta Hafta Gebelik Takibi Nasil Yapilir Cicicocuk

Hafta Hafta Gebelik Takibi Nasil Yapilir Cicicocuk

Hamilelik Belirtileri Archives Hamilelikte Biz

Hamilelik Belirtileri Archives Hamilelikte Biz

Hamilelikte 2 Ay Op Dr Sertan Aksu

Hamilelikte 2 Ay Op Dr Sertan Aksu

Bos Gebelik Nasil Anlasilir Belirtileri Nelerdir Gebe Com

Bos Gebelik Nasil Anlasilir Belirtileri Nelerdir Gebe Com

Hamilelik Belirtileri En Erken Hamilelik Belirtisi Hamilelik Hazirligi

Hamilelik Belirtileri En Erken Hamilelik Belirtisi Hamilelik Hazirligi

Source : pinterest.com